
University of Kansas
School of Medicine
Kansas City, Kansas
This edition of Sharma’s Endoscopy Insights focuses on gastric hyperplastic polyps and the role of prophylactic clipping during colorectal endoscopic submucosal dissection. Gastric hyperplastic polyps have been recognized increasingly, and management strategies remain controversial. Furthermore, because ESD is more frequently performed for flat colorectal lesions, reducing adverse events—specifically bleeding post-ESD—is an important clinical effort.
The first study I discuss found that the prevalence of neoplasia in resected gastric hyperplastic polyps and the incidence of cancer in patients with these hyperplastic polyps were both low. This retrospective study also determined a significant recurrence rate of 25% after endoscopic resection, and the authors proposed that resection is appropriate only for large (>2 cm) pedunculated hyperplastic polyps.
The second study I discuss is a randomized controlled trial that found patients who had prophylactic clipping after ESD had reduced delayed bleeding rates compared with the control group. The authors concluded that prophylactic clipping should be recommended after colorectal ESD.
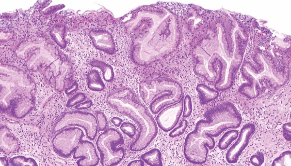
Treating Gastric Hyperplastic Polyps
Endoscopy 2025 Aug 1. doi:10.1055/a-2631-5146
Researchers from Poland conducted this retrospective cohort study to evaluate recurrence and neoplastic progression in gastric hyperplastic polyps (GHPs) after endoscopic resection. The analysis included 889 patients at a single high-volume endoscopy unit in Poland diagnosed with GHPs between 2003 and 2022. The researchers analyzed hospital and endoscopy databases and corresponding histopathology reports, cross-referencing those with the National Cancer Registry. Patients were followed until their diagnosis, death or Dec. 31, 2022, to see whether they developed gastric cancer.
Three patients developed gastric cancer over the median 30.5-month follow-up period (IQR, 11.1-61.2; 0.3%; cumulative incidence, 1.37% [95% CI, 0.43%-4.30%]). During the study period, 515 GHPs were resected, and neoplasia was found in six polyps (1.2%). All those polyps were 20 mm or greater in size, and five of the six had pedunculated morphology.
Follow-up data available for 167 patients (32.4%) indicated that 42 of them (25.1%) had a recurrence of their polyp after the initial resection.
The researchers concluded that pedunculated polyps that are 20 mm or larger may require resection because they are the most likely to harbor neoplasia, but they urged a more restrictive approach when removing smaller polyps.
Prophylactic Clipping to Reduce Delayed Bleeding
Gut 2025 Jun 3. doi:10.1136/gutjnl-2024-334463
In this multicenter, prospective, open-label, randomized controlled trial, researchers in Japan looked at whether prophylactic clips helped reduce delayed bleeding rates after ESD.
The trial was conducted at four institutions in Japan, and patients were randomly assigned to a group that received closure with prophylactic clips or to a control group that did not receive clips. The study primarily assessed the delayed bleeding rate 30 days after the procedure. There were 150 and 149 patients in the closure and control groups, respectively, in the researchers’ intention-to-treat (ITT) analysis, and 142 and 141 patients in the clip and control groups, respectively, in the per-protocol (PP) analysis.
In the ITT analysis, the delayed bleeding rate was 6.7% in the closure group and 20.1% in the control group (odds ratio [OR], 0.28; 95% CI, 0.13-0.60; P<0.001; absolute risk difference [ARD], 13.5%; 95% CI, 5.6%-20.9%). The severe delayed bleeding rate, defined as bleeding that required endoscopic hemostasis or blood transfusion, was 1.3% in the closure group and 8.7% in the control group (OR, 0.14; 95% CI, 0.03-0.64; P=0.003; ARD, 7.4%; 95% CI, 2.2%-12.4%). The researchers noted that the PP analysis confirmed these trends.
Based on these findings, the authors concluded that the use of prophylactic clip closure after ESD reduced the delayed bleeding rate, and they “strongly recommend” this approach to help prevent delayed bleeding. They also acknowledged that more research is needed on the cost and labor intensity of this approach.
Dr. Sharma is a member of the Gastroenterology & Endoscopy News editorial board.
This article is from the September 2025 print issue.

