Director of Endoscopic Ultrasound
Division of Gastroenterology and Hepatology
University of Virginia Medical Center
Charlottesville, Virginia
Section of Digestive Diseases and Nutrition
Department of Medicine
University of Oklahoma
Oklahoma City, Oklahoma
Pancreatic cysts are a biologically diverse group of lesions that have varying degrees of malignant potential. Due to the widespread use of cross-sectional imaging, these lesions are increasingly being detected incidentally. Despite our growing armamentarium of tests, there is no single perfect test for quantifying the malignant potential of a pancreatic cyst. This creates challenges for clinicians and patients and underscores the importance of a multidisciplinary approach to pancreatic cysts.
It is estimated that pancreatic cysts are identified in approximately 3% of patients who undergo CT and up to 13.5% in older patients undergoing MRI.1,2 The management of pancreatic cysts requires accurate risk stratification for malignant potential based on the presence or absence of symptoms and high-risk features on imaging. This process of risk stratification often begins with a careful review of cross-sectional imaging and occasionally requires the use of additional testing, such as endoscopic ultrasound (EUS), with or without fine needle aspiration (FNA) for fluid analysis and/or cytology.
Classifying Pancreatic Cysts
Multiple classification schemes have been proposed to describe pancreatic cysts. Perhaps the most clinically relevant classification involves grouping cysts based on their malignant potential (Table 1). This creates 2 groups of cysts: inflammatory fluid collections and pancreatic cystic neoplasms (PCNs).
| Table 1. Pancreatic Cysts Classified by Malignant Potential | |||||
| Cyst type | Epidemiology | Morphology and location | PD communi- cation | Cyst aspirate | Additional clues |
|---|---|---|---|---|---|
| Benign cysts | |||||
| Pseudocyst |
|
| + or – |
| History of pancreatitis |
| SCA |
|
| – |
| VHL mutation |
| Cysts with malignant potential | |||||
| MCN |
|
| – |
| KRAS mutation GNAS intact |
| IPMN |
|
| + |
| KRAS and GNAS mutations in >90% |
| Malignant cysts | |||||
| SPN |
|
| – |
| Risk for metastases at diagnosis up to 10% |
| PNET |
|
| – |
| Associated with MEN syndrome type 1 |
| CEA, carcinoembryonic antigen; F, female; IPMN, intraductal papillary mucinous neoplasm; M, male; MCN, mucinous cyts neoplasm; MEN, multiple endocrine neoplasia; MPD, main pancreatic duct; PD, pancreatic duct; PNET, pancreatic neuroendocrine tumor; SCA, serous cystadenoma; SPN, solid pseudopapillary neoplasm. | |||||
Pancreatic inflammatory fluid collections are not lined by an epithelium and are a result of local complications of acute pancreatitis. These are classified according to revised Atlanta classification and include acute peripancreatic fluid collections (APFCs), pancreatic pseudocysts, acute necrotic collections, and walled-off pancreatic necrosis.3 APFCs occur within 4 weeks of the onset of acute interstitial pancreatitis and do not have a definable wall. Pseudocysts are mature fluid collections that occur 4 weeks after the onset of interstitial pancreatitis and can be challenging to distinguish from PCNs.
PCNs, according to the World Health Organization histologic classification, are divided into 2 categories: serous (or non-mucinous) and mucinous. Serous cystadenomas (SCAs) are the most common serous PCNs. These are benign cysts lined by glycogen-rich cuboidal cells that originate from pancreatic acinar cells. Other serous PCNs include solid serous adenoma, von Hippel-Lindau (VHL) syndrome–associated serous cystic neoplasm, and mixed serous-neuroendocrine neoplasm. Mucinous PCNs include mucinous cystic neoplasms (MCNs), intraductal papillary mucinous neoplasms (IPMNs), and solid pseudopapillary neoplasms (SPNs).
Determining whether a PCN is serous or mucinous usually is the first step in risk stratification because mucinous cysts are considered premalignant. Mucinous cysts are lined by a columnar epithelium capable of producing mucus.4 When aspirated, these lesions will have viscous contents with a positive “string sign,” which has a specificity of 95%.5 In addition, fluid carcinoembryonic antigen (CEA) levels can be helpful in distinguishing mucinous and serous PCNs. CEA is secreted from columnar epithelial cells that are derived from the endoderm and line mucinous PCNs.6 The Cooperative Pancreatic Cyst Study revealed that a CEA cutoff of 192 ng/mL was the most accurate in differentiating mucinous from serous cysts.7 Therefore, the majority of guidelines use a cyst fluid CEA level of 192 ng/mL as a cutoff value, above which the CEA is considered elevated, indicating the PCN in a mucinous lesion. Finally, an elevated pancreatic cyst fluid amylase level indicates a connection with the pancreatic duct and typically is noted in IPMNs and pseudocysts.
Case 1
A 67-year-old man presents to the emergency department with a 3-week history of progressive post-prandial fullness, early satiety and nausea. He has a history of chronic alcohol use and multiple prior admissions for alcohol-related pancreatitis. CT scan reveals a 7- × 8-cm cystic lesion arising from the body of the pancreas, as well as extensive pancreatic calcifications consistent with chronic pancreatitis (Figure 1A). EUS with FNA reveals thin, brown fluid with an amylase level of greater than 15,000 U/L and a CEA of less than 5 ng/mL (Figure 1B). The patient is diagnosed with a pancreatic pseudocyst. An EUS-guided cystogastrostomy is performed, with complete resolution of the patient’s symptoms.
Case 1 Answer: Pancreatic Pseudocyst
Pseudocysts occur in the setting of pancreatitis. Clues on history include a discrete episode of pancreatitis (acute epigastric pain associated with nausea and vomiting, lipase or amylase 3 times the upper limit of normal, and imaging evidence of pancreatitis) and risk factors of pancreatitis (heavy alcohol use, gallstones, hypertriglyceridemia). Pseudocysts occur more than 4 weeks after the onset of interstitial pancreatitis. On imaging, they appear as an encapsulated unilocular collection of fluid with a well-defined inflammatory wall usually outside the pancreas, with minimal or no necrosis. Communication with the pancreatic duct usually is demonstrated. Although pseudocysts have no malignant potential, pancreatic cancer sometimes can present as acute pancreatitis, and a pseudocyst may develop in that setting. Given this, EUS is recommended for patients over 40 years of age with acute pancreatitis without a clear cause.8 In cases of diagnostic uncertainty, EUS-FNA is useful. Fluid from pseudocysts is dark yellow or brown and has an elevated amylase level (>250 U/L) and a low CEA level (<5 ng/mL). Pseudocysts do not require surveillance but require drainage if they are symptomatic.
Case 2
A 91-year-old woman undergoes CT for weight loss which reveals a pancreatic tail lesion. A follow-up MRI reveals a 2.3- × 2.1- × 4.5-cm cystic mass of the tail of the pancreas, with a central scar but without communication with the pancreatic duct (Figure 2A). EUS reveals a 2.6- × 43-cm lesion in the tail of the pancreas, which is predominantly microcystic (Figure 2B). FNA reveals rare clusters of bland epithelia, without any mucin.
Case 2 Answer: SCA
SCAs have an exceedingly low (approximately 0.1%) likelihood of malignant transformation.9 These lesions are almost always asymptomatic and detected incidentally on imaging. They occur in the fifth to seventh decades of life and occur more commonly in women. Rarely, larger SCAs can cause abdominal pain, pancreatitis, and bile duct and/or gastric outlet obstruction.10 On imaging, a classic SCA appears as a solitary, well-demarcated microcystic lesion with a honeycomb appearance. A central scar or “sunburst” calcified center is considered pathognomonic for SCA but is seen only in 20% to 30% of lesions. A macrocystic variant exists less commonly, and this can be difficult to distinguish from mucinous cystic lesions. Multifocal SCAs are associated with VHL syndrome and may include a neuroendocrine component. Pancreatic ductal communication is absent. SCAs usually can be diagnosed based on radiographic findings; however, EUS occasionally is needed if there is diagnostic uncertainty. The cyst aspirate is thin or serous and typically shows a low CEA (<5 ng/mL).11
Case 3
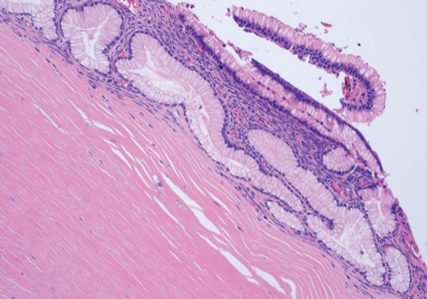
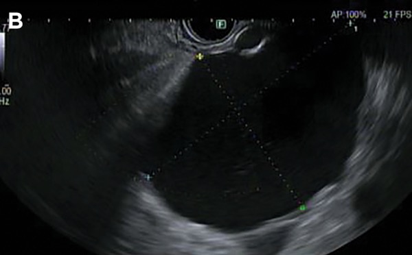
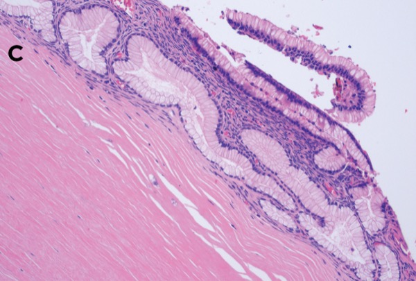
A 71-year-old woman is found to have a pancreatic tail cyst during a right upper quadrant ultrasound to work up mild transaminitis. She undergoes MRI, which reveals a rim-enhancing cystic lesion in the pancreatic tail measuring up to 5.1 cm without definitive communication with the main pancreatic duct (Figure 3A). EUS reveals a unilocular 45- × 62-mm cyst with a thick wall without communication with the main pancreatic duct (Figure 3B). Cyst aspiration is performed. The CEA level is 132,270 ng/mL, and the amylase level is 28 U/L. Cytology revealed cyst contents without any evidence of malignancy. The patient undergoes a distal pancreatectomy, and the pathology reveals an MCN with low-grade dysplasia (Figure 3C).
Case 3 Answer: MCN
MCNs present almost exclusively in women between 40 and 60 years of age. Radiographically, they usually appear as a septated cystic lesion in the body or tail of the pancreas, although unilocular lesions also are possible. Communication with the main pancreatic duct is absent. Eccentric calcifications may be present in 15% of cases.12 Fluid aspiration reveals thick or mucinous fluid with a high level of CEA (>192 ng/mL). The risk for invasive cancer in patients with MCNs depends on the presence of concerning features on preoperative imaging. These include large size (>5 cm), a thickened or irregular cyst wall, an internal nodule or mass, and the presence of a calcified cyst wall. In a meta-analysis, small (<4 cm) asymptomatic MCNs without worrisome features on imaging were found to have a small risk for harboring invasive cancer (approximately 0.03%).13 The management of MCNs requires a multidisciplinary approach. Surgical resection should be considered for large MCNs with high-risk features on imaging. Surveillance may be appropriate for smaller lesions without high-risk features. If resection is offered, and the lesion is completely resected on pathology, postoperative surveillance usually is not required.
Case 4
A 73-year-old male with a history of reflux and hyperlipidemia is found incidentally to have a pancreatic uncinate cyst on CT (Figure 4A). Because of the cyst’s size, the patient is referred for EUS, which reveals a cystic lesion at the uncinate process, which communicates with the main pancreatic duct, with a mural nodule measuring 12 mm (Figure 4B). EUS-FNA of the nodule reveals mucinous cyst fluid with scant atypical mucinous epithelium. The patient is referred to pancreaticobiliary surgery to discuss the risks, benefits, and alternatives to resection.
Case 4 Answer: IPMN
The most common pancreatic cysts, IPMNs occur in men and women equally, typically presenting in patients over 60 years of age. IPMNs may involve the main duct (MD-IPMN), the branch ducts (BD-IPMN), or both (mixed-type IPMNs). MD-IPMNs appear radiographically as a diffusely or partially dilated main pancreatic duct filled with mucin. They are found predominantly in the pancreatic head but can involve any part of the pancreas. BD-IPMNs are characterized by dilation of side branches of the pancreatic duct. They often are seen in the pancreatic head or uncinate process.14 Cyst aspirate reveals a mucinous fluid, with CEA typically elevated (>192 ng/mL).
The risk for malignancy associated with IPMNs depends on the type. MD-IPMNs and mixed-type IPMNs have a higher risk for malignancy compared with BD-IPMNs; the elevated risk was up to 60% in surgical series of resected lesion, but selection bias is a significant limitation of these data.15 The risk for malignant transformation of BD-IPMNs is much lower. In a study of 1,404 consecutive patients with BD-IPMNs, the overall incidence rate of pancreatic carcinoma 5, 10, and 15 years after IPMN diagnosis was 3.3%, 6.6%, and 15%, respectively.16 Prospective studies are needed to define the malignant risk of these lesions more accurately.
Available guidelines recommend some form of long-term surveillance of patients with IPMNs.8,15,17,18 There are differences in surveillance intervals between the various guidelines, but most suggest that small cysts (<3 cm) in asymptomatic patients without any suspicious features may be observed with serial imaging because the risk for malignancy is low. The surveillance interval is based on the size of the cyst and varies between guidelines but generally is every 2 years for cysts under 1 cm, every year for cysts between 1 and 2 cm, and every 6 months for cysts between 2 and 3 cm. Patients with worrisome features (Table 2) should be referred to a multidisciplinary group for further evaluation and consideration of surgical resection. If surgical resection is offered, surveillance is required after resection because additional IPMNs may develop.
| Table 2. IPMN Alarm Features |
| Clinical |
|---|
|
| Radiographic |
|
| CA 19-9, cancer antigen 19-9; IPMNs, intraductal papillary mucinous neoplasms. |
Case 5
A 65-year-old woman with a history of diabetes and hypertension undergoes a CT scan for investigation of hematuria. This reveals an incidental unilocular cyst in the body of a pancreas cyst measuring 9 mm (Figure 5A). EUS reveals a hypoechoic lesion with distinct borders measuring 8 × 6 mm (Figure 5B). Fine needle biopsy was performed (Figure 5C). Immunohistochemistry is positive for chromogranin, which confirms the diagnosis of neuroendocrine tumor (Figure 5D). After discussion at the multidisciplinary tumor board, the patient is offered the option of distal pancreatectomy vs imaging surveillance. She elects to pursue distal pancreatectomy, which reveals a well-differentiated pancreatic neuroendocrine tumor (PNET).
Case 5 Answer: PNET
PNETs are rare lesions, with an incidence of under 1 case per 100,000 individuals per year.19 Most PNETs are sporadic, but they can be associated with hereditary endocrinopathies, including multiple endocrine neoplasia type 1, VHL syndrome, neurofibromatosis type 1 (NF1), and tuberous sclerosis. PNETs occasionally can undergo cystic degeneration. This usually presents as a unilocular cyst with a prominent wall that is hyper-enhancing on contrast CT. Cyst aspirate usually reveals a blood-tinged fluid and fluid CEA is low. Surgical resection is offered for functional (hormone-secreting) PNETs and PNETs larger than 2 cm. A PNET smaller than 1 cm generally can be followed radiographically. There is debate in the literature about the optimal management of PNETs measuring between 1 and 2 cm, and multidisciplinary discussion is advised in these cases.
Case 6
A 21-year-old woman without a significant medical history is evaluated for worsening postprandial left upper quadrant pain associated with early satiety. CT scan reveals a 4.6- × 4.6-cm mass lesion in the distal pancreatic body (Figure 6A). The lesion is mostly solid, with a small central cystic area. Microcalcifications are present. EUS reveals a mixed solid/cystic lesion (Figure 6B), and EUS fine needle biopsy reveals thin bloody aspirate (Figure 6C). Immunohistochemistry stains for vimentin, alpha1-antitrypsin, and beta-catenin are positive. The patient is referred for distal pancreatectomy, and the final pathology confirms an SPN without dysplasia.
Case 6 Answer: SPN
SPNs occur almost exclusively in woman and usually present in the second to third decade. Radiographically, they appear as a solitary lesion with both a cystic and solid component. They can be located anywhere in the pancreas. Calcifications may be present.
Historically, the majority of patients with SPNs were symptomatic. However, incidental detection of SPNs is becoming more common with widespread use of cross-sectional imaging, and it now accounts for up to 50% of cases. The most commonly reported symptoms include abdominal pain, nausea/vomiting, and weight loss. Other symptoms that occur less frequently include bowel obstruction, anemia, jaundice due to bile duct obstruction, and pancreatitis. Patients also may have a palpable mass, which is the most common presentation in children.20
The risk for malignancy in SPNs in estimated to be around 15%, based on data from 2 surgical series.20,21 Tumor size of at least 5 cm was associated with an increased risk for high-grade malignancy.20 Given that these lesions occur in younger individuals and have a malignant potential, surgical resection generally is offered.
Emerging Technologies
In recent years, new markers from EUS-guided fluid samples from PCNs and new technical modalities of tissue acquisition and assessment have emerged that could improve our ability to accurately diagnosis PCNs and understand their risk for malignant transformation. However, these are not currently recommended by any of the guidelines, so we discuss them only briefly.
Next-generation sequencing of PCN fluid: Newer DNA-based molecular analysis using next-generation sequencing has allowed for the identification of specific markers for PCNs. The technology of next-generation sequencing allows for parallel sequencing of millions or billions of DNA strands, which has enabled the rapid sequencing of entire genomes and exomes, including targeted sequencing studies. In a single-center prospective study, next-generation sequencing was used to differentiate 102 surgically resected PCNs.22 The sensitivity and specificity of KRAS and/or GNAS mutations to differentiate mucinous from nonmucinous PCNs were 89% and 100%, respectively. Advanced neoplasia was identified by the additional mutation of TP53/PIK3CA/PTEN, with 79% sensitivity and 96% specificity.
Cyst fluid glucose level: Studies have shown pancreatic cyst fluid glucose levels to be lower in mucinous PCNs than in non-mucinous ones.23,24 A meta-analysis of 8 studies including 609 PCNs found that when comparing PCN fluid glucose with PCN fluid CEA, glucose had a higher sensitivity (91% vs 56%) and diagnostic accuracy (94% vs 85%) for detecting mucinous lesions, and there was no difference in specificity between the tests.25
Microbiopsy: Recently, a through-the-needle microforceps device (Moray, US Endoscopy) was introduced for EUS-guided tissue sampling in PCNs. This single-use microforceps can be passed through the lumen of a standard 19-gauge EUS-FNA needle, allowing through-the-needle tissue biopsy for histologic sampling of PCNs. Use of microbiopsy forceps may increase the diagnosis yield, help differentiate non-mucinous from mucinous PCNs, and improve presurgical assessment of risk for malignancy.26-28
Needle-based confocal laser endomicroscopy: Needle-based confocal laser endomicroscopy (nCLE) enables the observation of the inner wall of the cyst using EUS-FNA. A confocal laser endomicroscope is inserted through a 19-gauge EUS-guided needle. Intravenous injection of fluorescein then is performed 30 seconds to 2 minutes before nCLE. A low-power laser scans and illuminates tissue within a pancreatic cyst in a single focal plane, allowing microscopic detail of the surface epithelium to be examined for characteristics distinguishing various pancreatic cyst types. The use of nCLE has been shown to increase the accuracy of differentiation of PCNs.29
Conclusion
Although pancreatic cysts present a clinical challenge, familiarity with the different types of cysts and, perhaps more importantly, identification of those with malignant potential are important. Pattern recognition in terms of demographics, imaging characteristics, and cyst content analysis is helpful. Although emerging technologies are promising to identify different cyst types, we are still far from having the perfect test.
References
- Laffan TA, Horton KM, Klein AP, et al. Prevalence of unsuspected pancreatic cysts on MDCT. AJR Am J Roentgenol. 2008;191(3):802-807.
- Lee KS, Sekhar A, Rofsky NM, et al. Prevalence of incidental pancreatic cysts in the adult population on MR imaging. Am J Gastroenterol. 2010;105(9):2079-2084.
- Banks PA, Bollen TL, Dervenis C, et al. Classification of acute pancreatitis—2012: revision of the Atlanta classification and definitions by international consensus. Gut. 2013;62(1):102-111.
- van Huijgevoort NCM, Del Chiaro M, Wolfgang CL, et al. Diagnosis and management of pancreatic cystic neoplasms: current evidence and guidelines. Nat Rev Gastroenterol Hepatol. 2019;16(11):676-689.
- Bick BL, Enders FT, Levy MJ, et al. The string sign for diagnosis of mucinous pancreatic cysts. Endoscopy. 2015;47(7):626-631.
- Oh SH, Lee JK, Lee KT, et al. The combination of cyst fluid carcinoembryonic antigen, cytology and viscosity increases the diagnostic accuracy of mucinous pancreatic cysts. Gut Liver. 2017;11(2):283-289.
- Brugge WR, Lewandrowski K, Lee-Lewandrowski E, et al. Diagnosis of pancreatic cystic neoplasms: a report of the cooperative pancreatic cyst study. Gastroenterology. 2004;126(5):1330-1336.
- Elta GH, Enestvedt BK, Sauer B, et al. ACG Clinical Guideline: Diagnosis and Management of Pancreatic Cysts. Am J Gastroenterol. 2018;113(4):464-479.
- Jais B, Rebours V, Malleo G, et al. Serous cystic neoplasm of the pancreas: a multinational study of 2622 patients under the auspices of the International Association of Pancreatology and European Pancreatic Club (European Study Group on Cystic Tumors of the Pancreas). Gut. 2016;65(2):305-312.
- Tseng JF, Warshaw AL, Sahani DV, et al. Serous cystadenoma of the pancreas: tumor growth rates and recommendations for treatment. Ann Surg. 2005;242(3):413-419; discussion 419-421.
- van der Waaij LA, van Dullemen HA, Porte RJ. Cyst fluid analysis in the differential diagnosis of pancreatic cystic lesions: a pooled analysis. Gastrointest Endosc. 2005;62(3):383-389.
- Gress F, Gottlieb K, Cummings O, et al. Endoscopic ultrasound characteristics of mucinous cystic neoplasms of the pancreas. Am J Gastroenterol. 2000;95(4):961-965.
- Nilsson LN, Keane MG, Shamali A, et al. Nature and management of pancreatic mucinous cystic neoplasm (MCN): a systematic review of the literature. Pancreatology. 2016;16(6):1028-1036.
- Machado NO, Al Qadhi H, Al Wahibi K. Intraductal papillary mucinous neoplasm of pancreas. N Am J Med Sci. 2015;7(5):160-175.
- Tanaka M, Fernandez-Del Castillo C, Kamisawa T, et al. Revisions of international consensus Fukuoka guidelines for the management of IPMN of the pancreas. Pancreatology. 2017;17(5):738-753.
- Oyama H, Tada M, Takagi K, et al. Long-term risk of malignancy in branch-duct intraductal papillary mucinous neoplasms. Gastroenterology. 2020;158(1):226-237.e5.
- Vege SS, Ziring B, Jain R, et al. American Gastroenterological Association Institute Guideline on the Diagnosis and Management of Asymptomatic Neoplastic Pancreatic Cysts. Gastroenterology. 2015;148(4):819-822.
- European Study Group on Cystic Tumours of the Pancreas. European Evidence-Based Guidelines on Pancreatic Cystic Neoplasms. Gut. 2018;67(5):789-804.
- Hallet J, Law CH, Cukier M, et al. Exploring the rising incidence of neuroendocrine tumors: a population-based analysis of epidemiology, metastatic presentation, and outcomes. Cancer. 2015;121(4):589-597.
- Kim MJ, Choi DW, Choi SH, et al. Surgical treatment of solid pseudopapillary neoplasms of the pancreas and risk factors for malignancy. Br J Surg. 2014;101(10):1266-1271.
- Lee SE, Jang JY, Hwang DW, et al. Clinical features and outcome of solid pseudopapillary neoplasm: differences between adults and children. Arch Surg. 2008;143(12):1218-1221.
- Singhi AD, McGrath K, Brand RE, et al. Preoperative next-generation sequencing of pancreatic cyst fluid is highly accurate in cyst classification and detection of advanced neoplasia. Gut. 2018;67(12):2131-2141.
- Lopes CV. Cyst fluid glucose: an alternative to carcinoembryonic antigen for pancreatic mucinous cysts. World J Gastroenterol. 2019;25(19):2271-2278.
- Park WG, Wu M, Bowen R, et al. Metabolomic-derived novel cyst fluid biomarkers for pancreatic cysts: glucose and kynurenine. Gastrointest Endosc. 2013;78(2):295-302.e2.
- McCarty TR, Garg R, Rustagi T. Pancreatic cyst fluid glucose in differentiating mucinous from nonmucinous pancreatic cysts: a systematic review and meta-analysis. Gastrointest Endosc. 2021;94(4):698-712.e6.
- Kovacevic B, Kalaitzakis E, Klausen P, et al. EUS-guided through-the-needle microbiopsy of pancreatic cysts: technical aspects (with video). Endosc Ultrasound. 2020;9(4):220-224.
- Hashimoto R, Lee JG, Chang KJ, et al. Endoscopic ultrasound-through-the-needle biopsy in pancreatic cystic lesions: a large single center experience. World J Gastrointest Endosc. 2019;11(11):531-540.
- Yang D, Trindade AJ, Yachimski P, et al. Histologic analysis of endoscopic ultrasound-guided through the needle microforceps biopsies accurately identifies mucinous pancreas cysts. Clin Gastroenterol Hepatol. 2019;17(8):1587-1596.
- Krishna SG, Hart PA, Malli A, et al. Endoscopic ultrasound-guided confocal laser endomicroscopy increases accuracy of differentiation of pancreatic cystic lesions. Clin Gastroenterol Hepatol. 2020;18(2):432-440.e6.
Copyright © 2022 McMahon Publishing, 545 West 45th Street, New York, NY 10036. Printed in the USA. All rights reserved, including the right of reproduction, in whole or in part, in any form.
Download to read this article in PDF document:
Pancreatic Cystic Lesions: A Case-Based Approach
















